JZ Family Dental

Smile Makeover

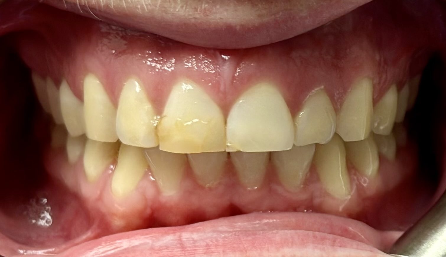
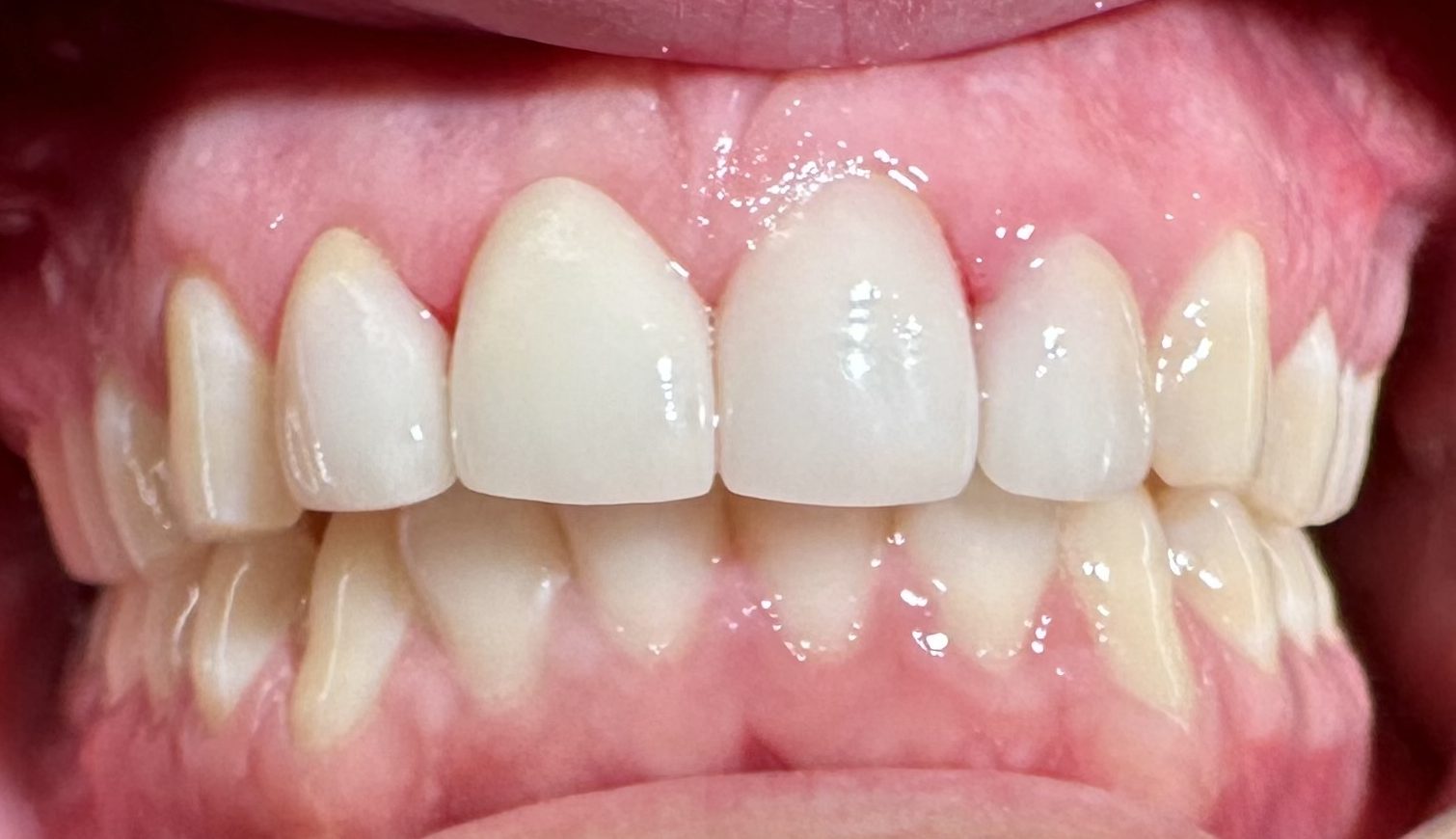
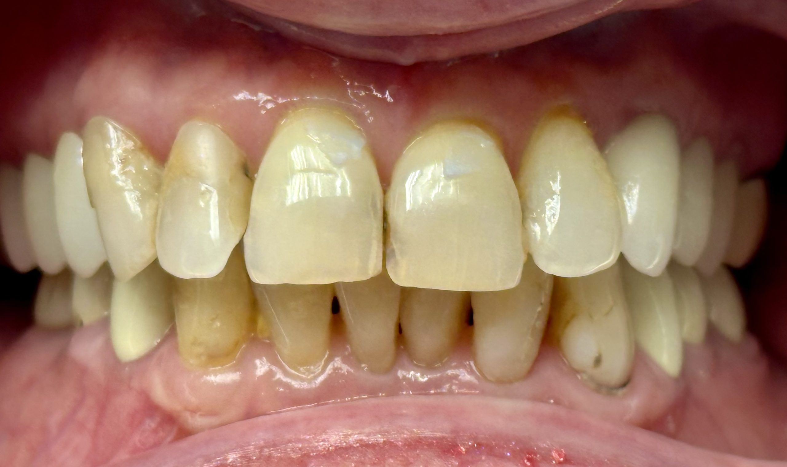
Before After
Before After
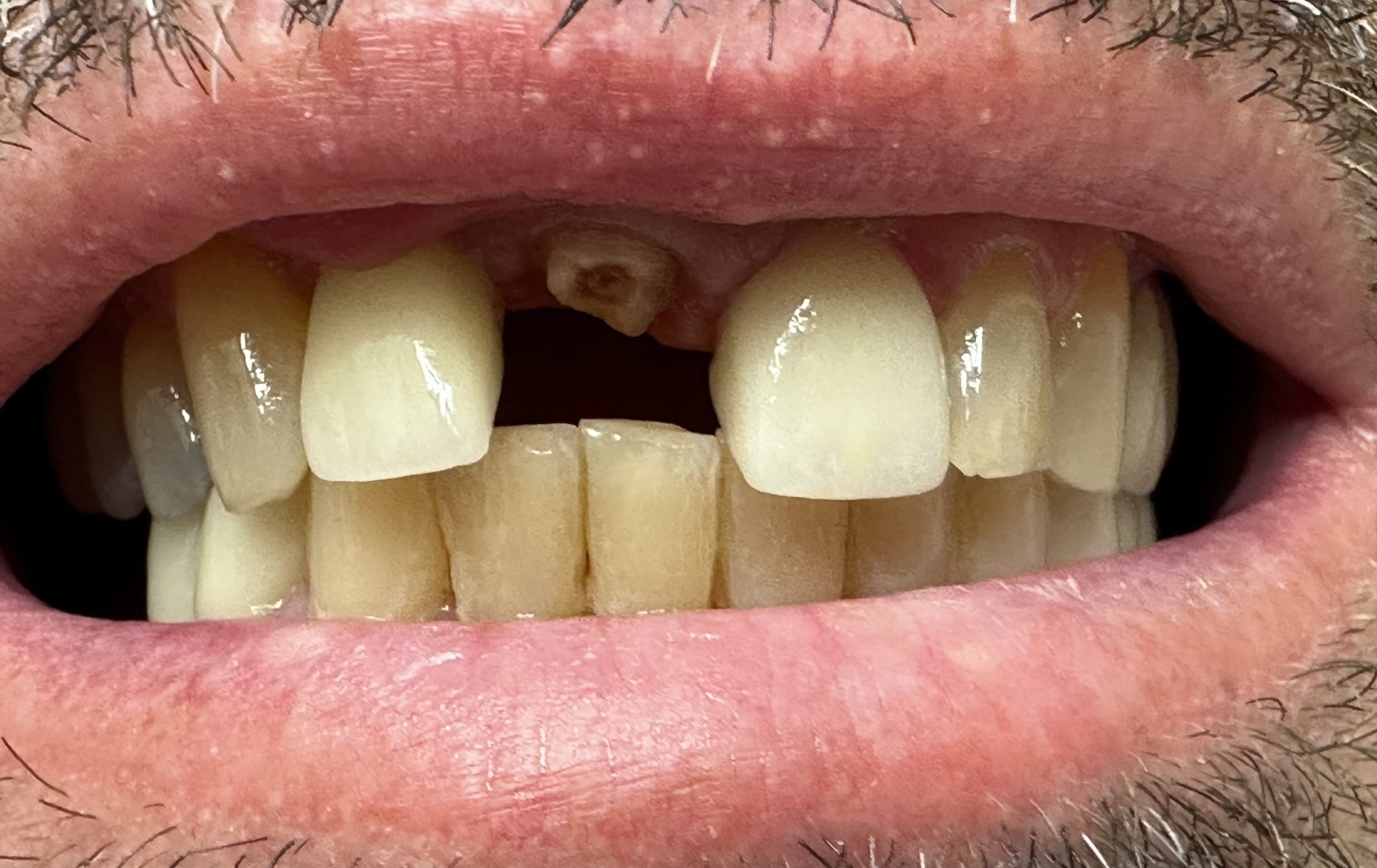
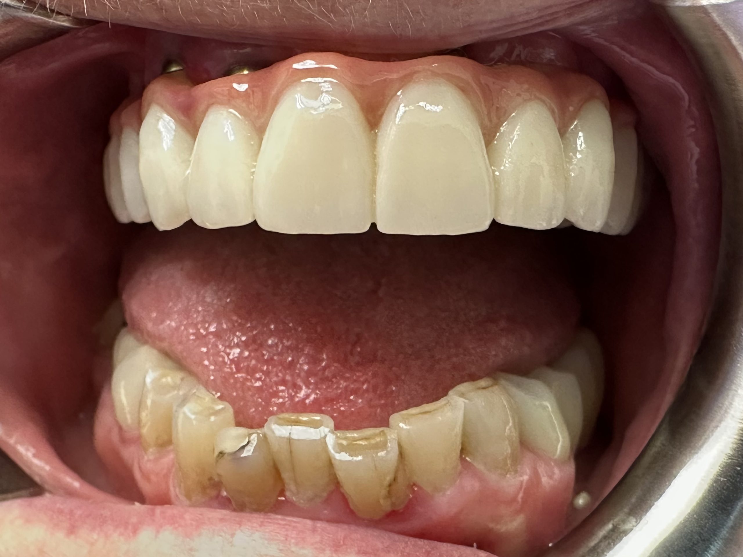
Before After
Before After
Before After
Before After
Before After
Before After
Before After
Before After
Before After
Before After
Before After
Before After